Shoulder Clinic

Total Shoulder Replacement

Total Shoulder Replacement


A total shoulder replacement may be recommended for patients suffering severe osteoarthritis in the glenohumeral joint.

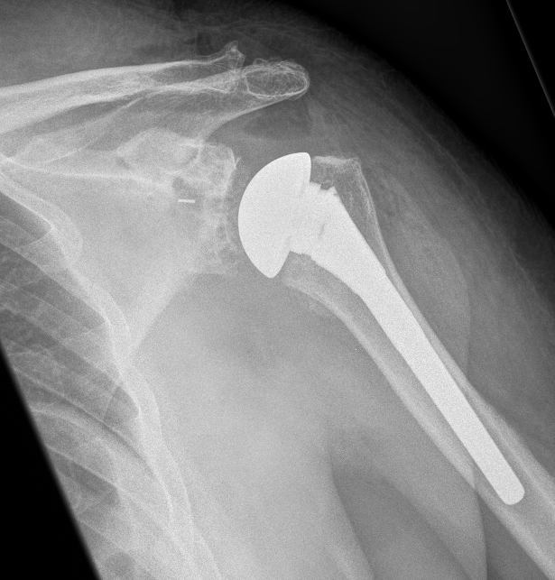
A total shoulder replacement is an open procedure which involves replacing the shoulder joint with a specially designed prosthesis. The prosthesis consists of two components. The first is a humeral head component, which is a metal ball that is secured into the humeral bone with a stem. The other is a glenoid component, which replaces the glenoid and allows smooth movement of the new humeral head. The system provides a close replication to the shoulder joint and relieves pain and discomfort by replacing the severely affected joint. The wound is generally closed with absorbable sutures. However, instructions will be given by Dr Cutbush post-surgery as to wound and dressing procedures.

Following surgery an xray and usually a CT scan will be performed day one postop to check that the position of the prosthesis is satisfactory. Physiotherapy will be commenced day 1 postop and patients will be given a rehab programme by their physiotherapist.

Following an anatomic total shoulder replacement a sling will be worn postop for 6 weeks following the surgery. Following a reverse total shoulder replacement the length of time a sling is required depends on the particular details of the operation. For instance if there has been no subscapularis repair at the time of the reverse shoulder replacement then a sling may be recommended only for a couple of weeks. If a latissimus dorsi transfer is required at the time of a reverse total shoulder replacement a sling or a brace will be required to be worn full time for 6 weeks postop.